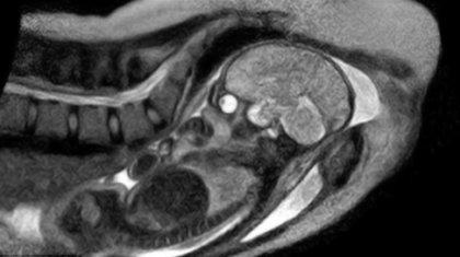
Γιατροί σε νοσοκομείο του Βερολίνου έγραψαν ιστορία, καθώς τραβούσαν φωτογραφίες μέσω μαγνητικού τομογράφου την ώρα που πραγματοποιούνταν το θαύμα της γέννησης.
Διαβάστε περισσότερα στο www.protothema.gr
Ακολουθήστε τον bwinΣΠΟΡ FM 94.6 στο Google News για να μαθαίνετε πρώτοι τα τελευταία νέα από την Ελλάδα και τον κόσμο.






